帖子
▼
帖子
产品
黄页
分类信息
俱乐部
搜索
消费地图
商家入驻
广告投放
全景湛江
美食
亲子
婚庆
商家库
购物
培训
休闲
便民区
半岛家园
印象湛江
摄影部落
俱乐部
博 览 社
湛江自协
驴友之家
每日读报
小游戏
网址导航
志 愿 者
微笑助学
情暖湛江
公益湛江
导 读
新闻
经济
社会
公益
历史
生活
健康
美食
时尚
娱乐
女人
情感
星座
趣闻
婚庆
母婴
教育
培训
旅游
汽车
房产
体育
游戏
互联网
科技
环保
首页
>
科技
:
全部
天文航天
人文地理
考古发现
生命奥秘
动物世界
生活百科
前沿科技
发布资讯
拿自己做实验的“疯狂”科学家都有哪些?
发布者:
如风
发布时间:
2011-11-24
阅读
[2617]
回复
[0]
字体大小:
小
中
大
若把人类的发展旅程比喻成一条满是泥泞的道路,在实验室里的新奇发明或发现则可以被看做是一块块大小不同的石板,科学家们就是用这些石板为我们铺平了前进的道路。
而科学研究并没有我们想象的那么美,穿着个白大褂,在实验室里捣腾的,事实上很多实验研究都伴随着或多或少的危险性,这其中有许多令人敬佩的事情发生,本文就来讲述那些拿自己做实验的疯狂科学家们的故事。
第十名:乔纳斯·索尔克(Jonas Salk)
在二十世纪初,小儿麻痹症(脊髓灰质炎)广泛分布于全世界,而当时的医学界没能找到理想的预防和有效的治疗手段。当索尔克发明出小儿麻痹症疫苗时,它的火爆程度并不如你所想。因为之前,已经有另一名科学家推出一种安全性差的疫苗并引起了数例儿童死亡案件,于是人们对疫苗心有余悸,不敢随意尝试。
没办法,索尔克为了证明自己的疫苗是有效且无害的,就在自己和家人身上注射了这种疫苗。最终的结果是皆大欢喜的,索尔克和家人平安无事。后来经济发达的国家,因为这种疫苗的使用,小儿麻痹症已经基本消失。
看来在那时候志愿者还不是很流行呢,现在的科学家研制出新药新疫苗可不需要自己来实验了,因为他们都去找身患顽疾的志愿者来证明药物的有效性了。
第九名:汉弗莱·戴维爵士(Sir Humphrey Davy)
戴维是位天赋很高而且勇于探索的化学家,他先后发现了钠、钾、氯、氟等元素,是化学史上发现元素最多的化学家。而他的一项重大成就就是发现了笑气(一氧化二氮),笑气的发现对当时的人来说可谓是意义重大,因为它有轻微的麻醉作用,早期被用于牙科手术麻醉,但是现在因为其对全身麻痹效果较差,已经很少使用了。
在发现笑气并研究笑气的性能时,戴维常用自己做实验,因此经常陷入险境。因过多吸入笑气而频繁导致缺氧中毒,他甚至出现过生命危险,而频繁的中毒使他的晚年在疾病中度过。
戴维啊,幸好笑气不是剧毒气体啊,不然你可就发现不了那么多元素就牺牲了,那我们可就损失大了。我还得不人道的问一句:当时的小白鼠还没被用于研究是吧?
第八名:普拉迪普·赛斯(Pradeep Seth)
用自己的身体做实验的事情可不仅存在于以前,现在的科学家也有敢于这么做的。2003年,微生物学家赛斯就将一种艾滋病疫苗(也就是失活的艾滋病毒)注射进自己体内,现在身体依旧良好,他也因此在同事中名声大噪。
原文并没有详解赛斯的胆大之举,因此依鄙人之见,赛斯可能只是做艾滋病的安全性能实验,也就是说他自己并没有患上艾滋病,实验证明的应该只是艾滋病疫苗是否会对身体造成其他影响,不然他现在身体还不错,那岂不是该震惊全球!
第七名:斯塔宾斯·弗斯(Stubbins Ffirth)
弗斯进行了一项实验,证明了做科学光有胆量是不够的,你没有无私的奉献精神和强大的肠胃是做不了下面这件事的。他认为黄热病是发热和压力的产物,并不是什么传染病。
为了证明这个观点,他将黄热病病人的呕吐物倒在了自己胳膊上,取下少量放入自己的眼睛,这样就罢了,更令人惊讶的是,他甚至直接对着患者的嘴,吞食患者吐出的呕吐物。而他最后也并没有染病,但是实际上他的证明是错误的,黄热病是传染的,只不过是通过血液传染的……
啊,一想到吞下别人的呕吐物就觉得好混乱!弗斯真是一位大胆的青年啊,但没必要用吞食呕吐物来证明吧,就算对方是位美女也不用嘛,吞点唾液不就行啦,而且最后还证明错误了,亏大了!
第六名:艾伯特·霍夫曼(Albert Hoffman)
瑞士科学家霍夫曼做研究的目的何在?我是搞不清了:他研究合成LSD(麦角酰二乙胺,强力致幻药)。也就是说,LSD是一种迷幻药,它能造成明显的精神变异,使用者会产生幻觉,对时间空间声音等产生错乱,而且恐怖的是,由它产生的幻觉可能在数年后还会出现!
这是一种未经批准的药物,现在还没有发现它有临床价值。霍夫曼因合成了LSD而被称为“摇头丸之父”,他的一生也就在研究LSD中度过了,不过他可是活了102岁,于2008年去世。敢肯定的是,霍夫曼绝对服用过迷幻药……
第五名:约翰·亨特(John Hunter)
亨特相信淋病会发展成梅毒,他自然是错误的,因为二者是由不同的病菌引起的。但是他接下来也做了一件大胆的事来证明自己是正确的,他从一位自称得了淋病的病人身上取了分泌浓汁,并涂在了自己的小弟弟上。
结果他同时得了淋病和梅毒!但实际情况是,那位患者自己就是淋病和梅毒的感染者。亨特不仅错误验证了二者的关系,最后还悲剧的死于梅毒性主动脉炎。
第四名:伊丽莎白·阿夏姆(Elizabeth Fleischman Ascheim)
阿夏姆因为她的姐夫而对X射线产生了兴趣,在她学习了电机学课程后,就买了一台X射线仪器,然后就开始在旧金山创办了第一间X射线实验室。
随后她和她的丈夫频繁地使用这个实验室来治疗美西之战(1898年美国和西班牙关于殖民统治的战争)的伤者。同时他们也用自己作为实验对象进行X射线研究。但因为没有采取严格的保护措施,几年之后,阿夏姆就死于癌症。
第三名:斯帕兰让尼(Lazzaro Spallanzani)
并不是所有实验都想验证药物的有效性,有些实验想了解的是事物的过程。1700年的斯帕兰让尼研究的就是消化的过程。
他将食物密封在小的亚麻带中,然后吞下袋子,在消化进行的不同时段拉出袋子。通过检查袋子里面的食物在胃中停留一小时,两小时等时间后的情况,他就能理解食物是怎样被消化的。
斯帕兰让尼你一定很痛苦吧,我记得以前生物书上讲过你把金属笼放入鹰的胃里提取酶,当时就想你真是残忍啊,没想到你原来对自己也是这么的狠……
第二名:沃纳·福斯曼(Werner Forssmann)
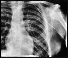
福斯曼曾提出了一个大胆的想法,将一根导管插入至心脏,通过这根管子可向心脏内注入药物或测量血压,在当时这种想法自然会被认为是疯狂的了。但为了证明这种技术的可行性,福斯曼决定在自己身上进行实验。
在对自己的前臂进行局部麻醉后,他将一根导管插入了肘前静脉,并向内推进了65cm,直到他的心脏。随后,为了证明所言不假,他带着这根管子,不顾周遭人的尖叫声,硬是来到了放射科,为这根插在他右心房内的导管照了相。不过可惜的是,在当时这种方法还是没有受到众人的认可。
福斯曼真是强悍之人…都敢对心脏乱来…这可真是验证了那句话:疯子与天才只有一线之差……
第一名:艾萨克·牛顿爵士(Sir Isaac Newton)
牛顿曾做过很多大胆的实验,比如长时间凝视太阳记录视觉出现的斑点和闪光等。但他做的下面这个实验实在不是常人敢尝试的。
根据牛顿的记载,他曾用一根粗针,在眼睛与眼骨之间扎,并尽可能地扎到眼球的后头,然后用粗针的顶端压迫眼球…之后眼睛便会看到许多白的黑的和彩色的光环,当他用粗针头在眼睛上摩擦的时候,这些光环便显得分外清晰,当他停止摩擦时,这些光环就消失了。
无论是在该拍偶像电影的薰衣草园,还是在该拍肥皂电影的榻榻米屋,只要牛老大拿着一根粗针站在那演示这个实验,这部影片就会立刻升级至少儿不宜的恐怖电影。
不愧是第一名啊,我对这个实验是真服了,光是想想就觉得恐惧。还有啊,此实验绝对绝对不可模仿。
来源
半岛家园
分享到:
QQ空间
新浪微博
开心网
人人网
相关阅读:
世界迷人的地质奇观有哪些?
2012-01-13
低端iPhone与Android有什么区别?
2012-01-13
笔记本可以改变形状吗?
2012-01-12
自然界哪些生物的长相很雷人?
2012-01-12
世界上长尾巴的人是什么样的?
2012-01-11
提高记忆力的科学方法有哪些?
2012-01-11
动物为何有性行为?
2012-01-10
电吹风是高辐射的杀手吗?
2012-01-10
Google+有什么特点?
2012-01-09
坐月子的禁忌到底科不科学?
2012-01-09
网友回复:
您当前输入了
0
个文字。
验证码:
高级模式
您目前还是游客,请
登录
或
注册
热点导读
利用电动车给手机充电的产品-电动车手机充电器
湛江电动车手机充电器批发零售
科学家2050年推出机器人妓女预防艾滋病
美宇航局最新观测到太阳表面巨大太阳黑子喷发
网友称NASA试图掩盖外星人的存在
Tawkon:被乔布斯拒绝的监测手机辐射应用
湛江购物网-湛江手机购物网075987.com
利用电动车给手机充电的产品-电动车手机充电器(图)
湛江电动车手机充电器批发零售(图)
湛江电动卷闸门维修与回收疑问解答
湛江电动门自动门遥控器如何使用
湛江电动门的正确使用
湛江人的体貌特征
科学家2050年推出机器人妓女预防艾滋病(图)
6月4日起将出现金星凌日等4大天象奇观
瑞星紧急发布红色安全警报 “超级火焰”病毒已入侵我国
而科学研究并没有我们想象的那么美,穿着个白大褂,在实验室里捣腾的,事实上很多实验研究都伴随着或多或少的危险性,这其中有许多令人敬佩的事情发生,本文就来讲述那些拿自己做实验的疯狂科学家们的故事。
第十名:乔纳斯·索尔克(Jonas Salk)
在二十世纪初,小儿麻痹症(脊髓灰质炎)广泛分布于全世界,而当时的医学界没能找到理想的预防和有效的治疗手段。当索尔克发明出小儿麻痹症疫苗时,它的火爆程度并不如你所想。因为之前,已经有另一名科学家推出一种安全性差的疫苗并引起了数例儿童死亡案件,于是人们对疫苗心有余悸,不敢随意尝试。
没办法,索尔克为了证明自己的疫苗是有效且无害的,就在自己和家人身上注射了这种疫苗。最终的结果是皆大欢喜的,索尔克和家人平安无事。后来经济发达的国家,因为这种疫苗的使用,小儿麻痹症已经基本消失。
看来在那时候志愿者还不是很流行呢,现在的科学家研制出新药新疫苗可不需要自己来实验了,因为他们都去找身患顽疾的志愿者来证明药物的有效性了。
第九名:汉弗莱·戴维爵士(Sir Humphrey Davy)
戴维是位天赋很高而且勇于探索的化学家,他先后发现了钠、钾、氯、氟等元素,是化学史上发现元素最多的化学家。而他的一项重大成就就是发现了笑气(一氧化二氮),笑气的发现对当时的人来说可谓是意义重大,因为它有轻微的麻醉作用,早期被用于牙科手术麻醉,但是现在因为其对全身麻痹效果较差,已经很少使用了。
在发现笑气并研究笑气的性能时,戴维常用自己做实验,因此经常陷入险境。因过多吸入笑气而频繁导致缺氧中毒,他甚至出现过生命危险,而频繁的中毒使他的晚年在疾病中度过。
戴维啊,幸好笑气不是剧毒气体啊,不然你可就发现不了那么多元素就牺牲了,那我们可就损失大了。我还得不人道的问一句:当时的小白鼠还没被用于研究是吧?
第八名:普拉迪普·赛斯(Pradeep Seth)
用自己的身体做实验的事情可不仅存在于以前,现在的科学家也有敢于这么做的。2003年,微生物学家赛斯就将一种艾滋病疫苗(也就是失活的艾滋病毒)注射进自己体内,现在身体依旧良好,他也因此在同事中名声大噪。
原文并没有详解赛斯的胆大之举,因此依鄙人之见,赛斯可能只是做艾滋病的安全性能实验,也就是说他自己并没有患上艾滋病,实验证明的应该只是艾滋病疫苗是否会对身体造成其他影响,不然他现在身体还不错,那岂不是该震惊全球!
第七名:斯塔宾斯·弗斯(Stubbins Ffirth)
弗斯进行了一项实验,证明了做科学光有胆量是不够的,你没有无私的奉献精神和强大的肠胃是做不了下面这件事的。他认为黄热病是发热和压力的产物,并不是什么传染病。
为了证明这个观点,他将黄热病病人的呕吐物倒在了自己胳膊上,取下少量放入自己的眼睛,这样就罢了,更令人惊讶的是,他甚至直接对着患者的嘴,吞食患者吐出的呕吐物。而他最后也并没有染病,但是实际上他的证明是错误的,黄热病是传染的,只不过是通过血液传染的……
啊,一想到吞下别人的呕吐物就觉得好混乱!弗斯真是一位大胆的青年啊,但没必要用吞食呕吐物来证明吧,就算对方是位美女也不用嘛,吞点唾液不就行啦,而且最后还证明错误了,亏大了!
第六名:艾伯特·霍夫曼(Albert Hoffman)
瑞士科学家霍夫曼做研究的目的何在?我是搞不清了:他研究合成LSD(麦角酰二乙胺,强力致幻药)。也就是说,LSD是一种迷幻药,它能造成明显的精神变异,使用者会产生幻觉,对时间空间声音等产生错乱,而且恐怖的是,由它产生的幻觉可能在数年后还会出现!
这是一种未经批准的药物,现在还没有发现它有临床价值。霍夫曼因合成了LSD而被称为“摇头丸之父”,他的一生也就在研究LSD中度过了,不过他可是活了102岁,于2008年去世。敢肯定的是,霍夫曼绝对服用过迷幻药……
第五名:约翰·亨特(John Hunter)
亨特相信淋病会发展成梅毒,他自然是错误的,因为二者是由不同的病菌引起的。但是他接下来也做了一件大胆的事来证明自己是正确的,他从一位自称得了淋病的病人身上取了分泌浓汁,并涂在了自己的小弟弟上。
结果他同时得了淋病和梅毒!但实际情况是,那位患者自己就是淋病和梅毒的感染者。亨特不仅错误验证了二者的关系,最后还悲剧的死于梅毒性主动脉炎。
第四名:伊丽莎白·阿夏姆(Elizabeth Fleischman Ascheim)
阿夏姆因为她的姐夫而对X射线产生了兴趣,在她学习了电机学课程后,就买了一台X射线仪器,然后就开始在旧金山创办了第一间X射线实验室。
随后她和她的丈夫频繁地使用这个实验室来治疗美西之战(1898年美国和西班牙关于殖民统治的战争)的伤者。同时他们也用自己作为实验对象进行X射线研究。但因为没有采取严格的保护措施,几年之后,阿夏姆就死于癌症。
第三名:斯帕兰让尼(Lazzaro Spallanzani)
并不是所有实验都想验证药物的有效性,有些实验想了解的是事物的过程。1700年的斯帕兰让尼研究的就是消化的过程。
他将食物密封在小的亚麻带中,然后吞下袋子,在消化进行的不同时段拉出袋子。通过检查袋子里面的食物在胃中停留一小时,两小时等时间后的情况,他就能理解食物是怎样被消化的。
斯帕兰让尼你一定很痛苦吧,我记得以前生物书上讲过你把金属笼放入鹰的胃里提取酶,当时就想你真是残忍啊,没想到你原来对自己也是这么的狠……
第二名:沃纳·福斯曼(Werner Forssmann)
福斯曼曾提出了一个大胆的想法,将一根导管插入至心脏,通过这根管子可向心脏内注入药物或测量血压,在当时这种想法自然会被认为是疯狂的了。但为了证明这种技术的可行性,福斯曼决定在自己身上进行实验。
在对自己的前臂进行局部麻醉后,他将一根导管插入了肘前静脉,并向内推进了65cm,直到他的心脏。随后,为了证明所言不假,他带着这根管子,不顾周遭人的尖叫声,硬是来到了放射科,为这根插在他右心房内的导管照了相。不过可惜的是,在当时这种方法还是没有受到众人的认可。
福斯曼真是强悍之人…都敢对心脏乱来…这可真是验证了那句话:疯子与天才只有一线之差……
第一名:艾萨克·牛顿爵士(Sir Isaac Newton)
牛顿曾做过很多大胆的实验,比如长时间凝视太阳记录视觉出现的斑点和闪光等。但他做的下面这个实验实在不是常人敢尝试的。
根据牛顿的记载,他曾用一根粗针,在眼睛与眼骨之间扎,并尽可能地扎到眼球的后头,然后用粗针的顶端压迫眼球…之后眼睛便会看到许多白的黑的和彩色的光环,当他用粗针头在眼睛上摩擦的时候,这些光环便显得分外清晰,当他停止摩擦时,这些光环就消失了。
无论是在该拍偶像电影的薰衣草园,还是在该拍肥皂电影的榻榻米屋,只要牛老大拿着一根粗针站在那演示这个实验,这部影片就会立刻升级至少儿不宜的恐怖电影。
不愧是第一名啊,我对这个实验是真服了,光是想想就觉得恐惧。还有啊,此实验绝对绝对不可模仿。